Reducing the amount of antibiotics or the dosage of zinc oxide has a negative effect on animal’s intestinal health. Antibiotics, as growth promoters, are also used to reduce diarrhea and promote growth, but long-term large-scale use is causing drug residues and food safety problems. Therefore, maintaining intestinal health is crucial to growth and development.
Firstly, the intestine is the most important digestive organ in the animal digestive system. 100% of the nutrients are absorbed through the intestines, so there is no nutrient absorption without a good intestinal tract. Secondly, the gut is the body’s largest immune organ. Nearly 80% of the immune cells in the body are found in the intestinal wall, and the 60-70% lymph nodes throughout the body are distributed in the intestine. Third, the gut has the largest micro-ecosystem which has been colonized with large number of bacteria and total weight of bacteria living in the intestine is around 1~3 kg. There are about 1 trillion live bacteria per gram of intestinal contents. Fourth, the gut is also the most vulnerable organ. Antibiotics, stress, toxins and infections are common factors that destroy intestinal health. An antibiotic is enough to destroy the gut’s normal flora for up to a year and lead to antibiotic resistance.
How to Establish a healthy intestine?
The main contents of animal intestinal health include the following three aspects:
Intestinal structural integrity: Products that stimulate digestion and protect intestinal mucosal barrier are needed to ensure the integrity of intestinal structure. For example, butyric acid, gluconic acid, lactic acid, glutamine, threonine, cysteine, nucleotides, etc.
Relatively stable microbial ecosystem: On the one hand, it is necessary to reduce the number of intestinal pathogenic bacteria. For example, inorganic acids, organic acids, zinc oxide, essential oils, Chinese herbs, probiotics, phages, antimicrobial peptides and so on. On the other hand, it is necessary to stimulate the establishment of beneficial bacteria in the intestine, such as probiotics, prebiotics, etc.
Relatively stable immunomodulatory system: Enhance immune response, such as immunoglobulin, n-3PUFA, yeast cell wall polysaccharides and so on.
Applications of Yeasense in pigs
The above three intestinal health contents all have a certain relationship with yeast products, so what is the role of yeast products on animal intestinal health?
YeaSense is yeast glycoprotein obtained by modifying and extracting Saccharomyces cerevisiae cells. YeaSense can improve production performance by improving animal intestinal health, plus reduce the use of AGPs (Antibiotic Growth Promoters).
1. Improve growth performance
YeaSense could replace AGPs in improving growth performance, intestinal health, and immunity. Weaned piglets fed diets containing YeaSense showed increased weight gain, improved intestinal development, and decreased F/G, and similar effect on the diarrhea rate and mortality as compared with the antibiotics group (Qin et al, 2019).

Fig.1 Effect of YeaSense as replacement of AGPs on diarrhea and mortality
Notes: ADG: average daily gain; ADFl: average daily feed intake;F/G: feed/gain ratio.Test animals: 240 heads weaned piglets (d23±2). Period: 14 days.
Dosage: Antibiotic group:25% quinocetone 200 mg/kg and 4% enduracidin 800 mg/kg;YG group;YeaSense 800 mg/kg of the basal diet.
2. Maintain intestinal health
YeaSense improves intestinal mucosal barrier and absorption function by maintaining the structural integrity of intestinal mucosa. Piglets fed diets containing YG (YeaSense) had lower serum content of diamine oxidase (DAO)(P<0.01) than piglets fed diets containing antibiotics, which is one of the important health indexes for weaned piglets.

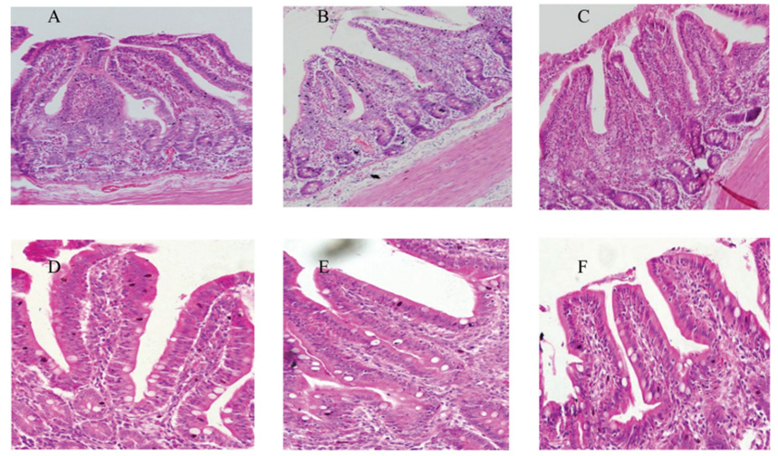
Fig.2 Effects of dietary supplementation with YG (YeaSense) on the histological evaluation of intestinal morphology
Notes: HE×200. (ABC)Antibiotics. (DEF)YG;
(AD) Duodenum. (BE)Jejunum. (CF)lleum.

Fig.3 Effects of dietary supplementation with YG (YeaSense) on the villous height (um) and crypt depth (um) in weaned piglets
Notes: VH/CD: villous height to crypt depth ratio. Data are means of 8 pigs per treatment, *P<0.05, **P<0.01.

Fig.4 Serum content of D -lactate and DAO affected by YG(YeaSense) supplementation
Note: Data are means of 8 pigs per treatment, **P<0.01
3. Intestinal mucosa protection
The intestinal barrier is formed by a layer of the columnar epithelium and interepithelial tight junctions. The tight junction is a major cellular component for maintenance of tissue integrity and barrier function. It has a complex molecular com-position and includes the transmembrane protein complexes (e.g.,claudins and occludins) and the cytosolic proteins zo (e.g., junctional adhesion molecules, ZO-1, ZO-2, and ZO-3 which formed a structure at the boundary of two adjacent cells that act as a rate-limiting step in the paracellular pathway and permeable barrier. There is evidence showing that intestinal tight junction barrier dysfunction can accelerate the onset and severity of post-weaning diarrhea. In the current study, piglets fed diets containing YG upregulated the m-RNA expression of ZO-1 and occludin in the duodenal mucosa and upregulated the m-RNA expression of occluding in the jejunal mucosa (Figure 5). This finding is consistent with the lower serum content of DAO, which can maintain intestinal functional integrity and ameliorate damage to the intestinal barrier function caused by weaning stress.

Fig.5 Effects of dietary supplementation with YG on the m-RNA expression of tight junctions in the intestinal mucosa
4. Stabilizing intestinal microflora
The results of colonic metabolites showed that YeaSense could reduce the content of acetate(P<0.05) (Table 1). Acetate is a kind of short chain fatty acids (SCFAs) produced by microbial fermentation. and is the most abundant SCFAs in the peripheral circulation. Acetate crosses the blood-brain barrier through the central homeostasis mechanism and reduces appetite. YeaSense can reduce the content of acetate in intestinal tract, so as to reduce the sense of satiety and increase feed intake.
Table 1. Effects of dietary supplementation with YG (YeaSense) on short chain fatty acids in weaned piglets

![]() | Published by Fayuan Gong Senior Engineer of Animal Nutrition Division |
About Angel Animal Nutrition:
Fubon is a brand of Angel Animal Nutrition. Fubon is committed to developing natural, efficient microbial feed derived from yeast with Angel's leading technology in yeast industry, providing the best service solutions for the nutrition and health in animals. Angel Animal Nutrition creates value for global feed and animal agriculture customers through continuously upgraded products and professional services.
About Angel:
Angel Yeast Company is a high-tech listed company specializing in yeast and biotech. Product business covers Yeast and Baking, Yeast Extract-Savoury, Nutrition & Health and Biotechnology fields. It is one of the world's leading companies in the yeast industry. Angel has 12 holding subsidiaries and provides products and services for more than 150 countries and regions.
Press Contact:
ANGEL YEAST CO.,LTD
Address: 168 Chengdong Avenue, Yichang, Hubei 443003, P. R.China
Tel:+86-717-6369520, 6369558
Fax:+86-717-6370680
Email: gongfy@angelyeast.com