Beranda > Berita & Acara > Blog > Nutrisi Hewan
Unlock the New Code for Salmon Farming: Yeast Nucleotides Usher in a New Era of Quality Upgrade

In the field of salmon farming, farmers have been constantly seeking key elements to enhance the quality, health, and vitality of salmon. Today, a magical substance - yeast nucleotides, which is quietly revolutionizing salmon farming, bringing unprecedented breakthroughs to the industry.

Dilemmas and Challenges in Salmon Farming

Salmon, a high-quality fish favored by consumers, has a continuously growing market demand. However, during the farming process, salmon face numerous problems. Factors such as water pollution, unbalanced feed nutrition, and pathogen attacks not only affect the growth rate of salmon but also lead to a decline in their immunity, frequent diseases, and a significant reduction in meat quality. This not only causes economic losses to farmers but also impacts the sustainable development of the entire salmon industry. How to improve the health state and quality of salmon while ensuring production has become an urgent problem for the industry.

Yeast Nucleotides: The "Secret Weapon" in Salmon Farming

Yeast nucleotides are natural bio-active substances widely present in yeast cells, playing a crucial role in the growth, intestine development, and immune regulation of organisms. In recent years, with the continuous progress of science and technology, the application of yeast nucleotide in the aquaculture field has gradually attracted attention, especially in salmon farming, where it has demonstrated excellent efficacy.

Enhance immunity and Resist Disease Invasion

During growth, salmon are vulnerable to infections from various pathogens, such as bacteria, viruses, and parasites. Yeast nucleotide can stimulate the immune system of salmon, promote the proliferation and differentiation of immune cells, and enhance the activity of immune cells, thus improving the disease - resistance ability of salmon. Research shows that after adding yeast nucleotide to the feed, the resistance of salmon to common diseases is significantly enhanced, the incidence rate is significantly reduced, the amount of drugs used in the farming process is greatly reduced, the farming cost is lowered, and at the same time, the food safety of salmon is guaranteed.

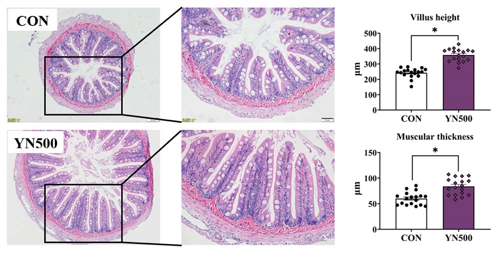
Improve intestine development and gut health for better farming efficiency

Yeast nucleotides are important raw materials for cell synthesis and can participate in the metabolic processes in salmon, promoting protein synthesis and cell division and proliferation. Which could promote the growth and development of the gastrointestinal tract and increase the surface area of the gastrointestinal tract and the villi length of the gastrointestinal tract, and improve the activity of gut-related enzymes in the pericyte cell layer of the gastrointestinal villi, affect the type and abundance of the gut microbes. Adding yeast nucleotide to the feed can significantly increase the growth rate of salmon, shorten the farming cycle, and increase the farming output. At the same time, yeast nucleotide can also improve the feed utilization rate of salmon, increase the feed conversion rate, and reduce the feed cost, bringing higher economic benefits to farmers.

Choose Right Yeast Nucleotide to Create a New Future for Salmon Farming

As a green, safe, and efficient feed additive, yeast nucleotide bring new hope to salmon farming. It can not only solve many problems in the salmon farming process, improve farming efficiency, but also enhance the quality of salmon to meet consumers' demand for high - quality aquatic products. In the pursuit of sustainable development today, yeast nucleotides are undoubtedly the best choice for the salmon farming industry. Let's work together, choose right yeast nucleotides, and create a bright future for salmon farming!


About Angel Animal Nutrition

Angel Animal Nutrition focuses on providing professional yeast solutions for animal nutrition, caring for animal health, reducing antibiotic use, and promoting the sustainable development of the livestock industry. Together with our partners, we are always in action, working hand in hand to create a better future.

About Angel

Angel Yeast Company is a high-tech listed company specializing in yeast and biotech. Product business covers Yeast and Baking, Yeast Extract-Savoury, Nutrition & Health and Biotechnology fields. It is one of the world's leading companies in the yeast industry. Angel has 12 holding subsidiaries and provides products and services for more than 150 countries and regions.

Press Contact

ANGEL YEAST CO.,LTD

Address: 168 Chengdong Avenue, Yichang, Hubei 443003, P. R.China

Tel:+86-717-6369520, 6369558

Email: aie@angelyeast.com

Tag terkait:
Terkait Blog

Lihat Semua

contactus followus