Reducing the amount of antibiotics or the dosage of zinc oxide has a negative effect on animal's intestinal health. High doses of zinc oxide can reduce the rate of diarrhea, but zinc oxide discharged from the body will seriously affect environment such as soil and food safety. Antibiotics, as growth promoters, are also used to reduce diarrhea and promote growth, but long-term large-scale use is causing drug residues and food safety problems. Therefore, maintaining intestinal health is crucial to growth and development. Firstly, the intestine is the most important digestive organ in the animal digestive system. 100% of the nutrients are absorbed through the intestines, so there is no nutrient absorption without a good intestinal tract. Secondly, the gut is the body's largest immune organ. Nearly 80% of the immune cells in the body are found in the intestinal wall, and the 60-70% lymph nodes throughout the body are distributed in the intestine. Third, the gut has the largest micro-ecosystem which has been colonized with large number of bacteria and total weight of bacteria living in the intestine is around 1~3 kg. There are about 1 trillion live bacteria per gram of intestinal contents. Fourth, the gut is also the most vulnerable organ. Antibiotics, stress, toxins and infections are common factors that destroy intestinal health. An antibiotic is enough to destroy the gut's normal flora for up to a year and lead to antibiotic resistance.
How to Establish a healthy intestine?
The main contents of animal intestinal health include the following three aspects:
• Intestinal structural integrity: Products that stimulate digestion and protect intestinal mucosal barrier are needed to ensure the integrity of intestinal structure. For example, butyric acid, gluconic acid, lactic acid, glutamine, threonine, cysteine, nucleotides, small peptides, etc.
• Relatively stable microbial ecosystem: On the one hand, it is necessary to reduce the number of intestinal pathogenic bacteria. For example, inorganic acids, organic acids, zinc oxide, essential oils, Chinese herbs, probiotics, phages, antimicrobial peptides and so on. On the other hand, it is necessary to stimulate the establishment of beneficial bacteria in the intestine, such as probiotics, prebiotics, etc.
• Relatively stable immunomodulatory system: Enhance immune response, such as immunoglobulin, n-3PUFA, yeast cell wall polysaccharides and so on.
Stabilizing intestinal microflora with yeast
The above three intestinal health contents all have a certain relationship with yeast products, so what is the role of yeast products on animal intestinal health?
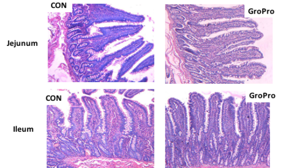
GroPro as is a functional nucleic acid and protein source from saccharomyces cerevisiae, which can provide exogenous nucleotides for intestinal development and help maintain intestinal integrity. Research shows that GroPro can increase the villus height and mucosal thickness of the intestine can enlarge the absorption area of the small intestine and facilitate the absorption of nutrients, see Fig 1. The shallowing of the crypt indicates that the maturation rate of cells increases, and the secretion function of the crypt increases correspondingly, which affects the digestion and absorption function. The intestinal V/C value (villus height/crypt depth) usually reflects the degree of renewal and metabolism of intestinal epithelial cells and intestinal functional status. A decrease in the ratio indicates a decrease in digestive and absorptive function, often accompanied by diarrhea; an increase in the ratio indicates an increase in digestive and absorptive function, accompanied by a decrease in the rate of diarrhea.

Fig 1 Effects of GroPro on the intestinal morphology of piglets
YeaVita/YeaVita+ as a kind of fungal probiotic which can improve the intestinal structure and function by balance the intestinal microflora and inhibit the reproduction of pathogens through competitive oxygen consumption as well as affect the nutrition digestion as shown in Fig 2.


Fig 2 Mode of action of YeaVita/YeaVita+ on gut health
The results of animal experiments in table 1 showed that adding 500g/t YeaVita+ to the diet of weaned piglets can significantly inhibit the proliferation of intestinal Escherichia coli and promote the proliferation of Lactobacillus (Xu J et al., 2018).
Table 1 Effects of YeaVita+ on the intestinal microbes of piglets (log10cfu/g)

YeaSense is a kind of yeast essence with bacteriostatic activity, which is obtained from yeast cells after directed enzymolysis which can inhibit the outbreak of intestinal pathogenic bacteria and alleviate the complications of bacterial diseases. In collaboration with Huazhong Agricultural University, Angel Yeast has tested 101 clinical isolates and standard strains. YeaSense can inhibit more than 90% of pathogenic bacteria, see Fig 3.

Fig 3 YeaSense inhibit different pathogenic bacteria compared to AGPs
YeaSense could replace AGPs in improving growth performance, intestinal health, and immunity. Weaned piglets fed diets containing YeaSense showed increased weight gain, improved intestinal development, and decreased F/G, and similar effect on the diarrhea rate and mortality as compared with the antibiotics group (Figure 4, Qin et al, 2019).

Figure 4 Effect of YeaSense as replacement of AGPs on diarrhea and mortality
(Animal:240 weaning piglets; AGPs Treatment: Enduracidin(4%) 250g/t, Quinocetone(50%) 100g/t, Aureomycin(15%) 500g/t;YG: YeaSense, 800g/t; period: 28 days)
YeaMOS as a prebiotic, the main components are mannan and beta-glucan which can optimize intestinal flora, bind mycotoxins and enhance immunity. Normally, the bacterial community in the host intestine has a dynamic equilibrium. After the harmful bacteria enter the intestinal tract, the harmful bacteria are adsorbed on the intestinal mucosa, the structure of the bacterial community is broken, the intestinal mucosa is destroyed, and the host health state is further influenced. Beta-glucan improves the intestinal mechanical barrier damage and maintains the integrity of the mucous membrane by promoting the expression of neurotransmitters including acetylcholinesterase, substance P and serotonin, and the close-linked protein in the intestinal epithelium. Mannan is degraded into short-chain fatty acids in the intestinal tract and increases the expression of genes related to electron transport chain and adenosine triphosphate synthesis in mitochondria, thereby providing energy for intestinal cells and maintaining the intestinal morphology and function, and it is hydrolyzed by periplasmic α-mannosidase to mannose that is utilized by beneficial bacteria to multiply in the intestinal tract. In structure, mannan is similar to the receptor of the pathogen on the intestinal tract, so when it binds to mannose-specific lectin on the surface of a pathogen, it significantly reduces the adhesion of pathogen on villi and makes it impossible for the pathogen to plant on the intestinal wall (Liu YN et al., 2021).

Figure 5 Mechanism of β-glucan and mannan for improving the intestinal environment
The above studies prove that, in addition to using zinc oxide and antibiotics, yeast products are also a good option to ensure intestinal health.
![]() | Published by Gong Fayuan Senior Engineer of Animal Nutrition Division |
About Angel Animal Nutrition:
Fubon is a brand of Angel Animal Nutrition. Fubon is committed to developing natural, efficient microbial feed derived from yeast with Angel's leading technology in yeast industry, providing the best service solutions for the nutrition and health in animals. Angel Animal Nutrition creates value for global feed and animal agriculture customers through continuously upgraded products and professional services.
About Angel:
Angel Yeast Company is a high-tech listed company specializing in yeast and biotech. Product business covers Yeast and Baking, Yeast Extract-Savoury, Nutrition & Health and Biotechnology fields. It is one of the world's leading companies in the yeast industry. Angel has 12 holding subsidiaries and provides products and services for more than 150 countries and regions.
Press contact:
ANGEL YEAST CO.,LTD
Address: 168 Chengdong Avenue, Yichang, Hubei 443003, P. R.China
Tel:+86-717-6369520, 6369558
Fax:+86-717-6370680
email: aie@angelyeast.com