In the piglet breeding industry, weaning stress-induced problems such as reduced feed intake, high diarrhea rate and intestinal disorders have long been core pain points restricting breeding efficiency. Based on the above issues, piglet creep feed must meet strict requirements of high gelatinization degree and high digestibility (IVDMD ≥ 88%). In the traditional feed formula system, protein sources have long relied on animal-based ingredients such as plasma protein powder and fish meal. These ingredients are confronted with three major challenges: biosafety risks, unstable supply and quality, and high prices. Yeast hydrolysate, leveraging its advantages including safe and controllable raw material sources, comprehensive and highly absorbable nutritional profiles, as well as stable supply and consistent quality, has emerged as the preferred alternative for high-end protein substitution in the piglet starter feed market. It exhibits particularly prominent performance in the domain of animal-origin-free feed.
GroPro:Quality and Sustainable Development
GroPro yeast hydrolysate produced by Angel Yeast Co., Ltd. is prepared by enzymatic hydrolysis of Saccharomyces cerevisiae using exogenous enzymes. It is rich in small-molecule peptides, free amino acids, free nucleotides, β-glucan, B vitamins and glutathione, and can fully meet the nutritional and physiological requirements of weaned piglets. Its core functions lie in three aspects: promoting nutrient absorption by converting macromolecular protein and nucleic acids into easily digestible small peptides (more than 88% less than 3.6 kDa) and free nucleotides, regulating intestinal flora balance to enhance barrier function, and improving immunity to alleviate weaning stress, which perfectly matches the delicate digestive system of piglets within 21 days of age.

Fig. 1. Schematic diagram of yeast structure.(Quoted from Tao et al., 2023)
Data from the European Feed Manufacturers' Federation (FEFAC) in 2023 shows that SDPP and imported fish meal were the core protein sources in creep feed of more than 85% of large-scale pig farms in the EU. However, SDPP is subject to strict cross-border traceability and ASF virus prevention and control certification, while imported fish meal is plagued by marine resource depletion and heavy metal residues (cadmium excess rate of 6.7%), making formula upgrading imperative. Against this background, yeast hydrolysate has shown excellent substitution effect in practical applications.
Recent research findings
Recently, a feeding trial of the application of GroPro in weaned piglets were conducted. A total of 72 healthy DLY (Duroc×Landrace×Yorkshire) weaned piglets at approximately 28 days of age, with an initial body weight of 7.2-7.5 kg and balanced genders, were used. Piglets were randomly assigned to 2 dietary treatments (T1: diet containing 3% fish meal(Peruvian steam fish meal, CP content: 64%), T2: diet containing 3% GroPro(CP content: 53%, free nucleotide content: 3.6%)) in a single-factor randomized complete block design. Each treatment had 6 replicates, with 6 piglets per replicate, and were housed in separate pens. After a 3-day transition period (fed a 1:1 mixture of T1 and T2 experimental diets), the formal 14-day trial was conducted. Dietary nutrient levels were formulated according to NRC (12th Edition). Adlibitum feeding and drinking water were provided to the weaned piglets throughout the experimental period.
The data are shown in Table 1. Compared with the 3% fish meal group (T1), the average daily gain (ADG) of the 3% GroPro group (T2) was significantly increased by 14.6% (P < 0.01). In terms of average daily feed intake (ADFI), the 3% GroPro group (T2) was increased by 5.3% compared with the 3% fish meal group (T1). For the feed-to-gain ratio (F/G), the 3% GroPro group (T2) was extremely significantly lower than that of the 3% fish meal group (T1), with a decrease of 0.12 (P < 0.01). With regard to diarrhea, the diarrhea rate of the 3% GroPro group (T2) was 2.78%, which showed no significant difference compared with 3.17% in the 3% fish meal group (T1).
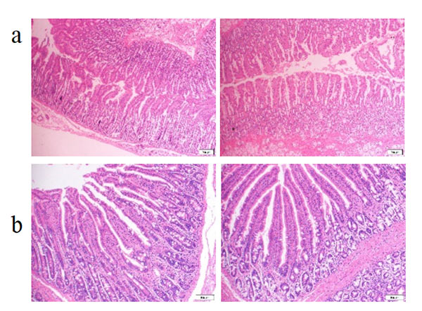
As shown in Figure 2 and Figure 3. Compared with the 3% fish meal group(T1), the 3% GroPro group(T2) increased villus height and crypt depth in the duodenum, but the differences were not significant(P > 0.05). Meanwhile, the 3% GroPro group(T2) increased villus height, decreased crypt depth, and elevated the villus height/crypt depth ratio in the jejunum. These results indicate that GroPro can promote the development of the duodenum and jejunum.

Fig. 2. Effects of GroPro on Intestinal Tissue Development in Weaned Piglets
Note: a and b represent the duodenum and jejunum, respectively. T1 is shown on the left and T2 on the right.

Fig. 3. HE staining of intestinal tissue sections
Replacing fish meal with GroPro can significantly improve the growth performance of weaned piglets, including increased average daily feed intake and average daily gain, as well as a reduced feed-to-gain ratio. Moreover, GroPro promotes the growth of intestinal villi in the duodenum and jejunum, enhances intestinal development, and improves the health of weaned piglets. The recommended additive dosage in the diet of weaned piglet is 10-30 kg/t.
About Angel Animal Nutrition
Angel Animal Nutrition focuses on providing professional yeast solutions for animal nutrition, caring for animal health, reducing antibiotic use, and promoting the sustainable development of the livestock industry. Together with our partners, we are always in action, working hand in hand to create a better future.
About Angel
Angel Yeast Company is a high-tech listed company specializing in yeast and biotech. Product business covers Yeast and Baking, Yeast Extract-Savoury, Nutrition & Health and Biotechnology fields. It is one of the world's leading companies in the yeast industry. Angel has 12 holding subsidiaries and provides products and services for more than 150 countries and regions.
Press Contact
ANGEL YEAST CO.,LTD
Address: 168 Chengdong Avenue, Yichang, Hubei 443003, P. R.China
Tel:+86-717-6369520, 6369558
Email: aie@angelyeast.com