الصفحة الرئيسية > الأخبار والأحداث > مدونة > تغذية الحيوان
Studies on GroPro replacing SDPP in piglets' diet

August 6th, 2018

By Xiao Xiangqian, Angel Animal Nutrition, China

The biological safety risks and its replacement of SDPP
SDPP (Sprayed Dried Plasma Protein) as a regular feedstuff is widely used in young animals' diet, and the application effect of is significant. However, with the deeply understanding of global animal husbandry industry on food and biological safety, the demand for SDPP appeared shrinking. There are aspects the industry concerning about, on one hand SDPP may cause PED (Porcine Epizootic Diarrhea), on the other hand SDPP has biological homology problem. Although, there is no clear conclusion on causing PED by SDPP, the replacement of SDPP in young animals' diet is more and more concerned by animal husbandry industry worldwide.
GroPro is a feed ingredient derived from yeast which is an alternative of SDPP, and it is more and more used in young animals' diet around the world.
During the third China Biological feed Technology Conference in 2015, Yin Yulong, the academician of the Chinese Academy of Engineering, showed the GroPro replacing SDPP research results, among which were the co-operation projects with Angel. After lots of research and practices, it was found that GroPro has significant effect on SDPP replacement in young animal diets. Particularly matching GroPro with other protein feedstuff and replacing SDPP can achieve a better effect on promoting growth and feed attraction.
Studies on GroPro replacing SDPP
Angel has spent several years on the research and application of GroPro replacing SDPP partially or completely, which showed that the replacement would not affect growth performance in piglets, and would save feed cost.
1. Replaces SDPP partially
Figure 1. Addition of GroPro reduces SDPP required in creep feed and improves the growth performance of early weaning piglets
replace plasma SDPPreplace SDPP
Experiment animals: 32 of 18-days-age piglets
Trial period: 14 days
Usage: 2% GroPro replaced 2% SDPP increep feed of 4% SDPP
2. Replaces SDPP completely
Figure 2. The GroPro has also been shown to completely replace SDPP in creep feed without reducing the growth performance of weaning piglets
replace SDPP completely
Experiment animals: 24of 21-days-age piglets
Trial period: 14 days
Usage: 3% GroPro replaced 3% SDPP in creep feed of 3% SDPP.
Experimental basis of GroPro replacing SDPP
1. Feed attractant
The peptides and flavor nucleotides in GroPro makes it is in good feed attractant. The trials showed that GroPro can continue to strengthen feed attractant and improve feed intake gradually。
In addition, GroPro can be used in piglets' diet as exogenous nucleic acid nutrition source because of high nucleic acid content in it. During growth period in piglets, the addition of nucleotide is beneficial to save time and energy for nucleic acids synthesis, and finally promote growth in piglets.
Figure 3. The effect of GroPro on ADFI compared with SDPP in piglets
SDPP feed intake
Experiment animals: 24of 21-days-age piglets
Trial period: 28 days
Usage: 4% GroPro replaced 4% SDPP in creep feed of 4% SDPP
2. Gut protection
Nucleic acid in yeast can not only increase the intestinal absorption area by improving the height of intestinal villii, but also promote the growth and development of intestinal cells by affecting intestinal cell division and differentiation, improving the activity of intestinal enzymes etc., so as to improve the intestinal health.
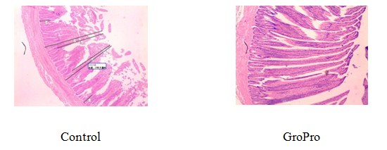
Figure 4. The addition of GroPro improved intestinal villii development
GroPro improved intestinal villii development
3. Immunity enhancement
The components with immunity enhancement function in GroPro are beta-glucans, mannans, nucleic acids and peptides.
Beta-1,3/1,6-glucan can enhance cellular and humoral immunity in piglets, increase antibody level and finally enhance the body's resistance to disease.
Mannans can improve villus structure, affect the cytokine content and regulate the immune function of the body in piglets. Also, mannans can improve the local immune response by promoting the secretion of anti-inflammatory factors, regulating intestinal mucosal cell factor and expression of TLR4 gene under the condition of stress and disease.
Most immune cells cannot synthesize enough nucleotides. Researches revealed that the addition of exogenous nucleotides can promote the expression of B lymphocyte and Th cell antigen in weaning mice, and promote the differentiation and maturation of intestinal lymphocytes. Therefore, when the amount of nucleotides synthesis is limited under stress in piglets, the addition of nucleic acids from yeast can maintain the best function of lymphocytes in weaned piglets.
Peptides can promote the development of immune function and promote the immune organ index in early weaned piglets.
Figure 5. The effect of GroPro and SDPP on humoral immunity in piglets (g/L)
immunity of functional yeast
Experiment animals: 80 of 21-days-age piglets
Trial period: 28 days
Usage: 2% GroPro replaced 2% SDPP increep feed of 4% SDPP
When GroPro replaced SDPP, the serum immunoglobulin (IgA and IgM) was increased significantly, which indicated that 2%GroPro+2%SDPP can promote immunity in piglets.
Above all, GroPro as functional nucleic acid and protein for young animals can replace SDPP partially or completely without affecting growth performance in piglets, and it will save cost.

头像和名字英文网站博客用.jpg


About Angel Animal Nutrition:

Fubon is a brand of Angel Animal Nutrition. Fubon is committed to developing natural, efficient microbial feed derived from yeast with Angel's leading technology in yeast industry, providing the best service solutions for the nutrition and health in animals. Angel Animal Nutrition creates value for global feed and animal agriculture customers through continuously upgraded products and professional services.

About Angel:

Angel Yeast Company is a high-tech listed company specializing in yeast and biotech. Product business covers Yeast and Baking, Yeast Extract-Savoury, Nutrition & Health and Biotechnology fields. It is one of the world's leading companies in the yeast industry. Angel has 12 holding subsidiaries and provides products and services for more than 150 countries and regions.

http://en.angelyeast.com/

Press contact:

ANGEL YEAST CO.,LTD

Address: 168 Chengdong Avenue, Yichang, Hubei 443003, P. R.China

Tel: +86-717-6369520, 6369558

Fax: +86-717-6370680

email: aie@angelyeast.com

العلامات ذات الصلة:
ذات صلة مدونة

شوف كل

contactus followus