ホーム > ニュースとイベント > ブログ > 発酵栄養素
Angel's Bacillus BioSolutions: Sustainable Agriculture Made Simple

May 23th, 2025

By LinChen

In the current situation where global agriculture is faced with challenges such as the excessive application of chemical fertilizers and pesticides, soil degradation, and the safety of agricultural products, biological agriculture with microbial technology at its core is becoming the key to solving these problems. Among them, bacillus, with its unique physiological characteristics and diverse functions, shows great potential in the field of biological agriculture.

I. Multidimensional Application Scenarios of Bacillus in Biological Agriculture

1. Application of Bacillus in Disease Prevention and Control

Bacillus preparations have shown excellent performance in the prevention and control of soil-borne diseases such as tomato wilt, cucumber powdery mildew, and rice sheath blight. For example, Bacillus subtilis can induce systemic acquired resistance (SAR) in plants, increasing the expression level of disease-resistant related genes in crops by 30% - 50%, and the field control effect remains stable at over 70%, significantly reducing the use of chemical pesticides. After a strawberry planting base in Shandong used a compound bactericide of Bacillus amyloliquefaciens, the incidence of root rot decreased by 65%, and the cost of pesticide input was reduced by 40%.

2. Application of Bacillus in Promoting Growth and Increasing Yield

The "root activation" effect of bacillus has a remarkable effect on crops such as corn, wheat, fruits, and vegetables. Research shows that applying Bacillus licheniformis can expand the root surface area of corn by 25%, increase the nitrogen absorption efficiency by 18%, and increase the yield by 10% - 15%. In protected vegetable cultivation, when used in combination with organic fertilizers, it can shorten the seedling raising period by 5 - 7 days, increase the vitamin C content in fruits by 12% - 20%, and significantly improve the commercial quality.

3. Application of Bacillus in Soil Improvement

Bacillus also has a good effect in promoting the decomposition of soil organic matter, improving soil fertility, and improving the soil. For example, when Bacillus subtilis is applied to saline-alkali soil, it can absorb and utilize the salts in the soil, release acidic components to improve the soil pH, and through its own reproduction, release gases to improve soil compaction.

II. Application of Angel Microbial Nutrients in the Fermentation of Bacillus

1. Yeast Extract Powder FM808 Promotes the Production of Parasporal Crystals of Bacillus thuringiensis

Bacillus thuringiensis is a commonly used biological insecticide. The parasporal crystals it produces can damage the intestinal epithelial cells of pests, leading to the leakage of cell contents and ultimately causing the death of pests. Angel Yeast Extract Powder FM808 contains a large amount of small molecular peptides, which are easily absorbed and utilized by bacillus and have the effect of promoting cell growth and protein expression. Through a series of comparative experiments of yeast extract powders, it was found that FM808 most significantly promotes the production of parasporal crystals of Bacillus thuringiensis. As shown in the figure, a large number of parasporal crystals are produced.

Figure 1. Fermentation of Bacillus thuringiensis (FM902 on the left, FM808 on the right)

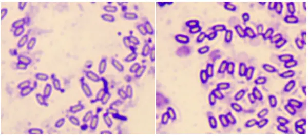
2. Soybean Peptone FP400 Promotes the Fermentation Production of Bacillus amyloliquefaciens

Bacillus amyloliquefaciens can degrade the residual pesticides in the soil and fruits, reduce the accumulation of nitrite, and increase the vitamin and sugar content in fruits and vegetables. Angel Soybean Peptone FP400 contains soybean polysaccharides, small molecular peptides, and free amino acids, and can replace animal-derived peptone, which is beneficial to promoting the growth of bacillus and the formation of spores. As shown in the figure, a large number of spores of Bacillus amyloliquefaciens are formed.

Figure 2. Fermentation of Bacillus amyloliquefaciens (Animal-derived peptone on the left, Soybean Peptone FP400 on the right)

3. Bacillus Medium BA01 Promotes the Fermentation Production of Bacillus subtilis

Angel Bacillus Medium BA01 is a general-purpose medium for bacillus. Its solution is relatively clear, with fewer metal ion precipitates, and it is suitable for the drip irrigation system in biological agriculture. For example, when various bacillus strains are inoculated, under the conditions of 500 rpm and an air flow rate of 4 L/min, after 15 - 24 hours of fermentation, the OD600 value of the fermentation broth is greater than 36.0, the viable bacteria count reaches 10¹⁰ cfu/ml, and the spore rate is over 90%.

截屏2025-05-26 12.54.14.png

III. Angel Microbial Nutrients Facilitate the Development of Biological Agriculture

The R&D Center of Angel Yeast Co., Ltd. has five technical platforms, namely, detection and analysis, process research, microbial application, animal cell application, and production and manufacturing. It ensures the development and application of products in terms of raw material selection, deep processing technology, application solution development, and quality assurance. The microbial nutrition R&D team of Angel is committed to the research of microbial nutrition raw materials and culture media, and has developed a series of yeast extract powders, peptones, and culture media products for biological agriculture, providing professional technical solutions for the development of biological agriculture.


About Angel Fermentation Nutrients

Angel Fermentation Nutrients, rich in protein, amino acids, peptides, nucleotides, B vitamins, and trace elements. With the advantages of having no allergic source and being non-transgenic, high efficiency, and stable quality, Angel YE are widely applied in biological laboratories and industrial-scale fermentation, promoting product safety and technical progress in the global fermentation industry.

About Angel:

Angel Yeast Company is a high-tech listed company specializing in yeast and biotech. Product business covers Yeast and Baking, Yeast Extract-Savoury, Nutrition & Health and Biotechnology fields. It is one of the world's leading companies in the yeast industry. Angel has 12 holding subsidiaries and provides products and services for more than 160 countries and regions.

Press contact:

ANGEL YEAST CO., LTD
Address: 168 Chengdong Avenue, Yichang, Hubei 443003, P. R.China
Tel: +86-717-6369227
Fax: +86-717-6368757

email: tangshuo@angelyeast.com

Related tags:
Related ブログ

すべて表示

contactus followus